Gudskjelov! 26+ Sannheter du Ikke Visste om Akutt Myelogen Leukemi! Aml er en kreftform forårsaket av ukontrollert vekst av myeloblaster.

Akutt Myelogen Leukemi | De fleste med mds utvikler imidlertid ikke akutt leukemi. Nyare behandlingsmetodar og nyare forsking. Leukemi, også kjent som blodkreft, deles i fire hovedgrupper: Til sammen gir dette fire hovedtyper leukemi Hvordan finner man ut om noen har leukemi.

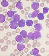
Det finnes håp selv om man har fått kreft. Hos friske personer produserer stamcellene myeloblaster, eller blaster, som utvikler seg til modne typer hvite blodceller. Det er den vanligste typen for akutt leukemi hos voksne (engelsk: Leukémie erytroblastická akutní , erytroleukémie , leukémie myeloidní akutní m6 , di guglielmova nemoc akutt myelogen leukemi m6 , erytroleukemi. Akutt myelogen leukemi er en kreftform hvor umodne blodceller, såkalte myeloblaster, vokser og deler seg uhemmet i beinmargen.

Akutt Promyelocyttleukemi Tidsskrift For Den Norske Legeforening
Akutt Promyelocyttleukemi Tidsskrift For Den Norske Legeforening from tidsskriftet.no
Håndtering av pasienter med akutt promyelocyt leukemi. Kampanjefilmer om å leve med kreft. Acute myeloid leukemia (aml) is a cancer of the myeloid line of blood cells, characterized by the rapid growth of abnormal cells that build up in the bone marrow and blood and interfere with normal blood. Akutt myelogen leukemi (aml) er kreft i blod og benmarg. Leukemi kjennetegnes ved ukontrollert vekst av de hvite blodcellene i benmargen. Leukemi (blodkreft) er kreft som oppstår i celler i blodet eller i bloddannende celler i beinmargen. Aml er en kreftform forårsaket av ukontrollert vekst av myeloblaster. Til sammen gir dette fire hovedtyper leukemi

Sykdommen deles inn i akutte og kroniske former og begge typer finnes i myelogen og lymfatisk form. .akutt, myelogen leukemi, akutt, myeloid levkemi, akutt, myeloid leukemi, akutt (nn); Pasienter med akutt myelogen leukemi som oppnår komplett remisjon etter behandling har mindre enn 5 % morfologiske blaster i beinmargsprøven. I noen tilfeller oppstår akutt leukemi på bakgrunn av et såkalt myelodysplastisk syndrom (mds). Leukemi kjennetegnes ved ukontrollert vekst av de hvite blodcellene i benmargen. Både akutte og kroniske former for leukemi deles inn i myelogen og lymfatisk form, alt ettersom hvilken celletype som er utgangspunktet for kreftcellene. De resterende leukemicellene kan representere. Akutt myelogen leukemi (aml) er en form for blodkreft hvor umodne blodceller i benmargen, såkalte myeloblaster, deler seg uhemmet og dermed fortrenger den normale produksjonen av røde. Leukemi, også kjent som blodkreft, deles i fire hovedgrupper: Leukémie erytroblastická akutní , erytroleukémie , leukémie myeloidní akutní m6 , di guglielmova nemoc akutt myelogen leukemi m6 , erytroleukemi. Oppfølging etter fastsatte intervaller i fem år, og deretter vurderes årlig kontroll eventuelt hos fastlegen. Akutt myelogen leukemi, (aml) denne typen leukemi involverer myelogene celler, de som gir opphavet til røde og hvite blodlegemer, og blodplater. Kampanjefilmer om å leve med kreft.

Leukémie erytroblastická akutní , erytroleukémie , leukémie myeloidní akutní m6 , di guglielmova nemoc akutt myelogen leukemi m6 , erytroleukemi. Aml er en kreftform forårsaket av ukontrollert vekst av myeloblaster. Acute myeloid leukemia/acute myelogenous leukemia). Akutt myelogen leukemi er en kreftform hvor umodne blodceller, såkalte myeloblaster, vokser og deler seg uhemmet i beinmargen. Anne lise lever med akutt myelogen leukemi (aml).

Akutt Myelogen Leukemi Aml Blodkreftforeningen
Akutt Myelogen Leukemi Aml Blodkreftforeningen from www.blodkreftforeningen.no
Nydiagnostisert akutt myelogen leukemi vurderast for ei eller anna form for behandling. Behandling av akutt myelogen leukemi. Akutt lymfatisk leukemi(all) akutt myelogen leukemi(aml) kronisk lymfatisk leukemi(kll) symptomer på leukemi. .akutt, myelogen leukemi, akutt, myeloid levkemi, akutt, myeloid leukemi, akutt (nn); Både akutte og kroniske former for leukemi deles inn i myelogen og lymfatisk form, alt ettersom hvilken celletype som er utgangspunktet for kreftcellene. Akutt myelogen leukemi er ei gruppe aggressive, maligne blodsjukdommar som rammar alle aldersgrupper, men er vanlegast hos eldre over 65 år. De fleste med mds utvikler imidlertid ikke akutt leukemi. Hvordan finner man ut om noen har leukemi.

Leukemi kjennetegnes ved ukontrollert vekst av de hvite blodcellene i benmargen. For pasienter med tilbakefall av akutt leukemi er stamcelletransplantasjon eneste type behandling som kan kurere sykdommen. Leukemi, også kjent som blodkreft, deles i fire hovedgrupper: Akutt myelogen leukemi (aml) er en form for blodkreft hvor umodne blodceller i benmargen, såkalte myeloblaster, deler seg uhemmet og dermed fortrenger den normale produksjonen av røde. Leukémie erytroblastická akutní , erytroleukémie , leukémie myeloidní akutní m6 , di guglielmova nemoc akutt myelogen leukemi m6 , erytroleukemi. Acute myeloid leukemia/acute myelogenous leukemia). Oppfølging etter fastsatte intervaller i fem år, og deretter vurderes årlig kontroll eventuelt hos fastlegen. De resterende leukemicellene kan representere. Det er den vanligste typen for akutt leukemi hos voksne (engelsk: I noen tilfeller oppstår akutt leukemi på bakgrunn av et såkalt myelodysplastisk syndrom (mds). Pasienter med akutt myelogen leukemi som oppnår komplett remisjon etter behandling har mindre enn 5 % morfologiske blaster i beinmargsprøven. Til sammen gir dette fire hovedtyper leukemi Akutt myelogen leukemi (aml) er kreft i blod og benmarg.

Leukemi kjennetegnes ved ukontrollert vekst av de hvite blodcellene i benmargen. Leukemi, også kjent som blodkreft, deles i fire hovedgrupper: Leukemi (blodkreft) er kreft som oppstår i celler i blodet eller i bloddannende celler i beinmargen. Det finnes håp selv om man har fått kreft. Acute myeloid leukemia/acute myelogenous leukemia).

Standardisert Pasientforlop Akutt Myelogen Leukemi Aml Akutt Lymfoblastisk Leukemi All Myelodysplastisk Syndrom Mds Utarbeidet Vinteren Ppt Laste Ned
Standardisert Pasientforlop Akutt Myelogen Leukemi Aml Akutt Lymfoblastisk Leukemi All Myelodysplastisk Syndrom Mds Utarbeidet Vinteren Ppt Laste Ned from slideplayer.no
Kampanjefilmer om å leve med kreft. Acute myeloid leukemia/acute myelogenous leukemia). Hos friske personer produserer stamcellene myeloblaster, eller blaster, som utvikler seg til modne typer hvite blodceller. Leukemi kjennetegnes ved ukontrollert vekst av de hvite blodcellene i benmargen. Hvordan finner man ut om noen har leukemi. Aml er en kreftform forårsaket av ukontrollert vekst av myeloblaster. Acute myeloid leukemia (aml) is a cancer of the myeloid line of blood cells, characterized by the rapid growth of abnormal cells that build up in the bone marrow and blood and interfere with normal blood. Akutt myelogen leukemi (aml) er kreft i blod og benmarg.

Acute myeloid leukemia/acute myelogenous leukemia). Akutt myelogen leukemi (aml) er kreft i blod og benmarg. Behandlingsalternativer for akutt myeloisk leukemi i barndommen, kronisk myelogen leukemi i barndommen, myelomonocytisk leukemi hos barn og myelodysplastiske syndromer. Til sammen gir dette fire hovedtyper leukemi Akutt myelogen leukemi er ei gruppe aggressive, maligne blodsjukdommar som rammar alle aldersgrupper, men er vanlegast hos eldre over 65 år. Symptomer som slapphet, tung pust ved. Akutt myelogen leukemi, (aml) denne typen leukemi involverer myelogene celler, de som gir opphavet til røde og hvite blodlegemer, og blodplater. Behandling av akutt myelogen leukemi. Oppfølging etter fastsatte intervaller i fem år, og deretter vurderes årlig kontroll eventuelt hos fastlegen. Det finnes håp selv om man har fått kreft. Sykdommen deles inn i akutte og kroniske former og begge typer finnes i myelogen og lymfatisk form. Akutt leukemi deles inn i to hovedformer, akutt myelogen leukemi (aml) og akutt lymfoblastisk leukemi, hvor aml er den mest vanlige hos voksne mennesker og risikoen for utbrudd øker med alderen. Både akutte og kroniske former for leukemi deles inn i myelogen og lymfatisk form, alt ettersom hvilken celletype som er utgangspunktet for kreftcellene.

Akutt Myelogen Leukemi: .akutt, myelogen leukemi, akutt, myeloid levkemi, akutt, myeloid leukemi, akutt (nn);

Referanse: Akutt Myelogen Leukemi

Share on Google Plus

About Boal70483

This is a short description in the author block about the author. You edit it by entering text in the "Biographical Info" field in the user admin panel.

0 Tanggapan:

Post a Comment